Tedaviler

Skolyoz

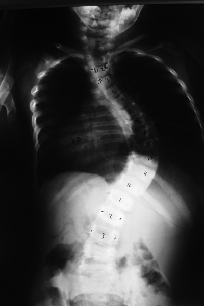
Gövdeye yandan bakıldığı zaman omurgada normal olan eğrilikler görülür. Sırt bölgesinde dış bükey bir eğrilik, kifoz, bel bölgesinde iç bükey bir eğrilik, lordoz vardır. Skolyoz denildiği zaman omurganın yana doğru eğilmesini anlamaktayız. Gövdeye önden veya arkadan baktığınız zaman yana doğru eğiliyormuş gibi bir görüntü verir. Kamburluk veya kifoz ise sırt bölgesindeki dış bükey eğriliğin artmasıdır.

Skolyozun tipik  bulguları her iki omuz yükseklilerinde farklılık, kürek kemiğinin diğerine göre daha çıkıntılı olması, kalçanın diğerine göre daha yüksek veya belirgin olması, bel bölgesinde asimetri gelişmesi, hasta öne doğru eğildiği zaman sırtının bir tarafı diğerine göre daha yüksek görünmesi olarak sayılabilir.

Skolyoz nüfusun %1-4’ünü etkilemektedir ve özellikle ergenlik çağındaki genç kızları etkilemektedir. Ülkemizde 200-800 bin civarında skolyozu olan genç kız veya kadın vardır. Skolyoz hafif ise dıştan fark edilmeyebilir, radyolojik inceleme yaparak saptanabilir. İleri derece skolyozlar gövdede ciddi kozmetik soruna sebep olacağı için dışarıdan kolayca fark edilirler. Sıklıkla rastladığımız nedeni bilinmeyen (idyopatik) skolyoz ailevi bir hastalıktır ve hiç bir çevresel etkiden etkilenmez. Skolyozun ortaya çıkmasında ağır çata taşımak veya çantayı hep bir tarafta taşımak gibi alışkanlıkların yeri yoktur.

İskelet gelişimini tamamlamamış büyümesi devam eden hastalarda skolyoz için korse tedavisi verilebilir. Korse özellikle her hasta için vücuduna uygun ölçü alınarak yapılır. Korsenin amacı çocuk büyürken eğriliğin artmasını engellemektir. Korseler omurgayı tamamen düzeltmez ancak ilerlemesini durdurabilir. Korse tedavisinin başarılı olması için hafif-orta derece eğriliklerde kullanılması, düzenli takip, hastaya uygun yapılmış bir korse, uyumlu bir hasta ve destekleyici bir aile, en az 20 saat kullanılmasını gerektirir. 

Korse tedavisine yanıt alınamadığı durumlarda cerrahi tedaviye başvurulur. Cerrahi tedavi büyümesi devam eden ve büyümesi tamamlanmış hastalarda farklılık ihtiva eder. Büyümesi tamamlanmamış çocuklarda büyüme dostu implantlar (uzayan rod, magnetik rod, bantlama yöntemi vs.) kullanılır. Büyümesi tamamlanmış çocuklarda ise en sık yapılan cerrahi işlem sırttan vida ve çubuklar kullanılarak enstrümentasyon ve kemik greftiyle yapılan füzyondur. Modern enstrüman sistemleri ile eğriliği %80 oranında düzeltmek mümkündür.

WhatsApp ile Danış
X